
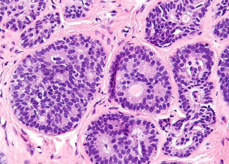
Cette image montre une situation où il y a augmentation du nombre de cellules anormales dans les canaux mammaires. Bien qu'il ne s'agisse pas d'un cancer, cette condition est associée à une augmentation du risque de cancer. Des marqueurs génomiques pourraient aider à repérer de façon précoce les cas qui risquent d'évoluer vers le cancer du sein.
— Nephron/Wikimedia Commons
Charu Kothari, Geneviève Ouellette, Yvan Labrie, Simon Jacob, Caroline Diorio et Francine Durocher ont comparé l'expression des gènes dans les tissus mammaires de 20 femmes réparties en quatre groupes. Le premier était constitué de femmes sans cancer du sein alors que les trois autres regroupaient des femmes ayant des lésions de sévérité grandissante. «Nous voulions savoir s'il y avait une signature génomique caractéristique de chaque étape», résume la professeure Durocher.
Les analyses ont permis de repérer un total de 255 gènes dont l'expression est modifiée, soit à la hausse ou à la baisse, selon les étapes. Du nombre, 231 gènes sont exprimés différemment selon qu'on a affaire à des cellules normales ou à des cellules qui ont atteint la première étape où il y a un cancer. En utilisant des critères liés à la magnitude des changements observés dans l'expression des gènes, à la force des différences statistiques et aux fonctions de ces gènes, les chercheurs ont validé une liste de sept gènes particulièrement prometteurs pour faire office de marqueurs.
«Ils pourraient servir à détecter très précocement l'apparition de cellules anormales ou encore à trancher lorsque les rapports de pathologie ne sont pas concluants. Ils pourraient aussi être utilisés pour suivre la progression du cancer et pour aider à prioriser les cas exigeant une intervention rapide. Enfin, en modulant l'expression de ces gènes, il serait peut-être possible de prévenir ou de ralentir la progression de la maladie», précise la professeure Durocher.
Tout cela reste à démontrer, insiste la chercheuse. «La prochaine étape consiste à valider nos résultats auprès d'une plus grande cohorte. Idéalement, il faudrait refaire l'expérience sur plusieurs centaines de femmes.»


























