
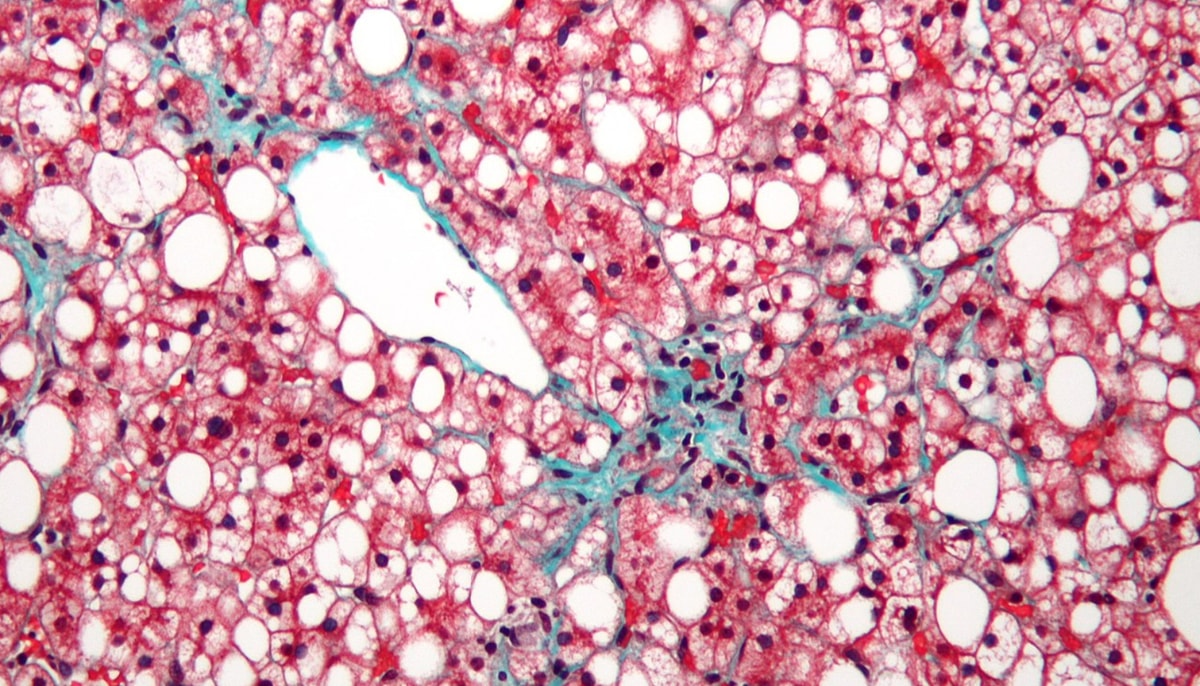
Cette image montre le foie d'une personne atteinte de la maladie du foie gras. On y voit, en rouge, des cellules normales du foie, en blanc, des vésicules contenant des lipides, et en bleu, du tissu fibreux qui se forme là où des cellules du foie ont été détruites. À ce stade, la maladie peut encore être asymptomatique.
— Nephron
Des expériences menées sur des cellules in vitro et chez des animaux de laboratoire montrent qu'une molécule dérivée d'un acide gras oméga-3 pourrait atténuer les deux principales manifestations de la maladie du foie gras, soit l'accumulation de gras dans le foie et l'inflammation de cet organe. Les détails de cette avancée viennent d'être présentés dans The FASEB Journal par l'équipe du professeur André Marette, de la Faculté de médecine de l'Université Laval.
La maladie du foie gras est une pathologie qui commence par une simple accumulation de graisses dans le foie. Cette condition demeure le plus souvent asymptomatique, mais elle peut évoluer vers un état inflammatoire conduisant à une fibrose, à une cirrhose ou à un cancer du foie.
«La maladie du foie gras touche environ 20% des adultes canadiens et elle est en augmentation en raison de la progression de l'obésité et du diabète de type 2 dans la population. Il n'existe présentement aucun médicament reconnu par Santé Canada pour soigner les personnes qui en sont atteintes», souligne le professeur Marette.
Il y a quelques années, l'équipe du professeur Marette s'est intéressée à une molécule, la protectine DX (PDX), dérivée de l'acide gras oméga-3 DHA. Des expériences menées in vitro et chez des souris avaient montré le potentiel de la PDX dans la régulation du glucose sanguin. «Nous avons rapidement réalisé que certaines molécules mimant la PDX montraient une plus grande efficacité pour contrer l'inflammation et les problèmes glycémiques», poursuit le chercheur.
Dans l'étude publiée par The FASEB Journal, l'équipe de l'Université Laval évalue l'efficacité de 30 analogues synthétisés à partir de la PDX par les scientifiques du Service de synthèse organique du Centre de recherche du CHU de Québec – Université Laval. Les tests menés sur des cultures cellulaires montrent que l'un de ces analogues, le AN-48, réduit l'inflammation causée par les macrophages – des cellules du système immunitaire –, et stimule la captation du glucose par les cellules musculaires. De plus, chez des hamsters soumis à un régime obésogène, cet analogue de la PDX réduit l'accumulation de gras dans le foie et l'inflammation de cet organe, en plus d'améliorer la régulation du glucose sanguin.
«L'analogue AN-48 produit des résultats très encourageants, mais les chimistes de notre équipe sont convaincus qu'on peut faire encore mieux en apportant certaines modifications à sa structure chimique», souligne le professeur Marette.
Son équipe aura l'occasion de relever ce défi grâce à un financement de près de 966 000$ qu'elle vient de recevoir. Cette somme provient du Consortium québécois sur la découverte du médicament, de divers organismes subventionnaires et de Trienix Pharma, une jeune entreprise issue de l'Université Laval qui a été mise sur pied par le professeur Marette et cinq de ses collègues. «Si tout se déroule comme prévu, nous espérons entreprendre des études cliniques chez l'humain en 2029», conclut le chercheur.
Les signataires de l'étude parue dans The FASEB Journal sont Frédérik Desmarais, René Maltais, Jean-Yves Sancéau, Bruno Marcotte, Geneviève Guèvremont, Jocelyn Trottier, Patricia Mitchell, Olivier Barbier, Donald Poirier et André Marette. Ces scientifiques sont associés au Centre de recherche de l'Institut universitaire en cardiologie et en pneumologie de Québec-Université Laval, au Centre de recherche du CHU de Québec –Université Laval et à l'Institut sur la nutrition et les aliments fonctionnels de l'Université Laval.


























