
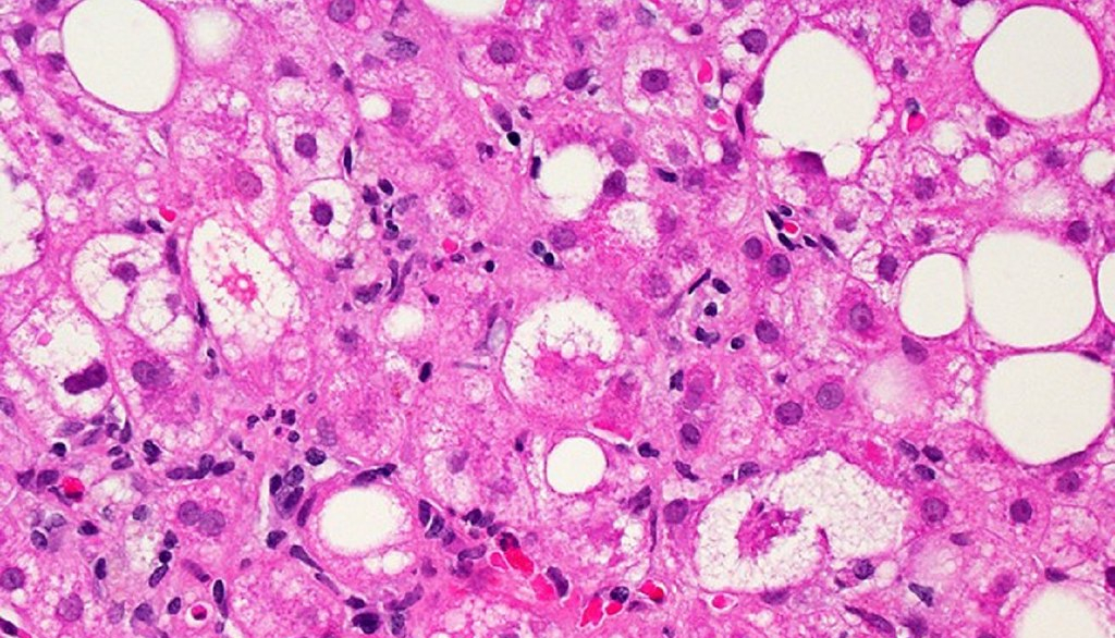
Les cercles blancs que l'on voit sur cette image prise au microscope sont des gouttelettes de lipides qui s'accumulent dans les cellules hépatiques de personnes atteintes de la maladie du foie gras. Chez les gens qui souffrent de cette maladie, les lipides représentent plus de 5% du poids du foie.
— David Kleiner/National Cancer Institute/NIH
La maladie du foie gras, une pathologie qui touche environ 20% des adultes canadiens, débute par une simple accumulation de graisses dans le foie. Cette condition peut rester asymptomatique ou, sans que l'on sache précisément pourquoi, évoluer vers un état inflammatoire qui risque de conduire à une fibrose, à une cirrhose ou à un cancer du foie.
Une équipe de l'Université Laval a démontré, chez un modèle animal de la maladie, qu'un récepteur cellulaire qui assure la communication entre le cerveau et les cellules hépatiques joue un rôle clé dans l'aggravation de la maladie du foie gras. Les travaux de cette équipe viennent de faire l'objet d'une publication dans l'American Journal of Physiology-Gastrointestinal and Liver Physiology.
Ces scientifiques ont réussi à cerner le rôle de ce récepteur, nommé ADRA1B, en mettant au point une souris transgénique qui ne peut le produire dans ses cellules hépatiques. «Nos recherches antérieures ont montré que ce récepteur est présent et abondant dans une grande proportion des hépatocytes, les cellules fonctionnelles du foie. Ces récepteurs répondent à la noradrénaline, l'un des neurotransmetteurs qui assurent la communication entre le cerveau et le foie. C'est ce qui nous a incités à étudier le rôle de ce récepteur dans l'évolution de cette maladie», explique le responsable de l'étude, Alexandre Caron, professeur à la Faculté de pharmacie de l'Université Laval, et chercheur au Centre de recherche de l'Institut universitaire de cardiologie et de pneumologie de Québec-Université Laval.
L'équipe de recherche a soumis, pendant 32 semaines, des souris dépourvues du récepteur ADRA1B et des souris normales à une diète riche en gras et en sucres, en particulier en huile de palme, en cholestérol et en fructose, afin d'induire la maladie du foie gras chez ces animaux. «Chez l'humain, le surpoids et le diabète de type 2 sont des facteurs de risque de cette maladie», rappelle le professeur Caron.
Au terme de l'expérience, les scientifiques n'ont constaté aucune différence entre les deux groupes de souris sur le plan du poids corporel, de l'accumulation de graisses dans les cellules du foie, de la tolérance au glucose ou de la sensibilité à l'insuline.
«Par contre, nous avons observé que les souris dépourvues du récepteur ADRA1B montraient une inflammation beaucoup plus grave du foie. Elles présentaient aussi une augmentation de certaines molécules inflammatoires connues pour aggraver la maladie», résume Alexandre Caron.
Le récepteur ADRA1B est présent dans plusieurs organes chez l'humain, notamment dans le foie, ce qui porte à penser que son dysfonctionnement pourrait être impliqué dans la progression de la maladie du foie gras, poursuit-il. «Nos résultats ouvrent la voie à de nouvelles approches thérapeutiques qui ciblent ce récepteur. Toutefois, il faudra d'abord préciser la nature exacte de ce dysfonctionnement et trouver une façon d'intervenir de façon ciblée sur les récepteurs ADRA1B qui se trouvent dans le foie.»
L'étude publiée dans l'American Journal of Physiology-Gastrointestinal and Liver Physiology est signée par Bernie Efole, Sarra Beji, Mathilde Mouchiroud, Yves Gélinas, Coraline Cavinet, Jocelyn Trottier, Jessica Deslauriers, Olivier Barbier et Alexandre Caron, de l'Université Laval, Cindy Serdjebi, de Biocellvia en France, et Joel Elmquist, du UT Southwestern Medical Center.


























